सामान्य ज्ञान

Health Tips : अगर आप दांतों में लगे कीड़े से हैं परेशान...तो देसी नुस्खे अपनाकर मिनटों में निकालें बाहर...

 अगर दांतों में कीड़े लग गए हों तो देसी नुस्खों का उपयोग करके इन्हें मिनटों में निकाल सकते हैं. आज मैं ऐसा ही एक देसी नुस्खा बता रहा हूं, जिसे आप बिना डॉक्टर के पास जाए दांतों के कीड़ों को बाहर निकाल सकते हैं.


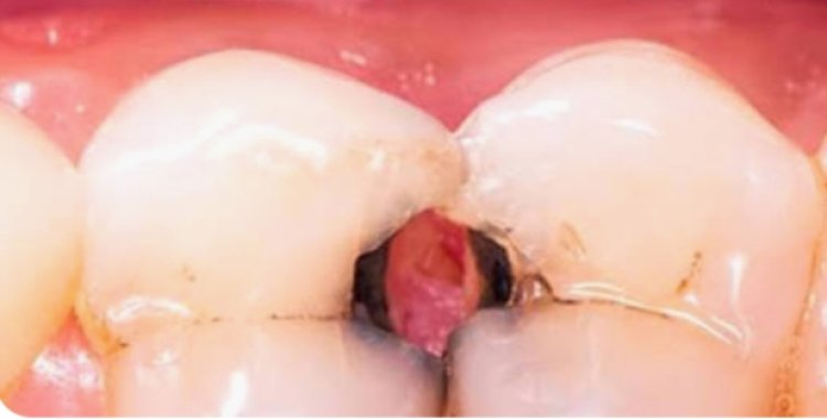
बच्चे हों या बुजुर्ग, मिठाई खाने के बाद अगर आप दांतों की सफाई में लापरवाही बरतते हैं तो दांतों में कीड़ा लग सकता है. इससे पूरा दांत खराब हो जाता है. ऐसे में लोगों को डेंटिस्ट के पास जाना पड़ता है और अक्सर दांत निकाल दिया जाता है. क्योंकि इससे दूसरे दांत के खराब होने का खतरा बढ़ जाता है.

आप आज भी हमारे दादा-दादी और नाना- नानी के पुराने नुस्खे अपनाकर दांतों के कीड़ों से छुटकारा पा सकते हैं. आज मैं ऐसा ही एक देसी नुस्खा बता रहा हूं, जिसे आप बिना डेंटिस्ट के पास जाए दांतों के कीड़ों को बाहर निकाल सकते हैं.

ऐसे दांतों में लगे कीड़े को निकाले बाहर

सबसे पहले प्याज का बीज लें और उसे जले हुए उपले पर डालें. इसके बाद उससे निकलने वाले धुंए को मुंह खोलकर अंदर जाने दें, लेकिन धुंए को अंदर न लें, केवल मुंह में रखें. कुछ ही मिनटों में दांतों के सभी कीड़े बाहर निकल आएंगे. यह नुस्खा हमारे बड़े बुजुर्ग इस्तेमाल करते थे, लेकिन आज की पीढ़ी इन पुराने देसी नुस्खों को भूलती जा रही है.

चॉकलेट खाने से बच्चों के दांत हो रहे हैं खराब

अनवार अहमद बताते हैं कि उनकी उम्र लगभग 70 साल की हो चुकी है. अभी तक उनके सभी के सभी दांत सुरक्षित है. हम लोग खाना खाने, मिठाई खाने के बाद कुल्ला नहीं करते. आजकल छोटे- छोटे बच्चे चॉकलेट्स खा रहे हैं, जिससे दांतों को काफी नुकसान हो रहा है. 10 से 12 साल में बच्चों के दांत कीड़ा लगने से खराब हो रहे हैं. इसके बाद नया दांत लगाना पड़ता है.

देसी नुस्खे अपनाकर दांत को करें साफ

अनवार अहमद बताते हैं कि इससे बचने का आसान तरीका है. अगर किसी के दांत में कीड़ा लग जाता है तो उसको आप अपने घर पर ही निकाल सकते हैं. सबसे पहले बाजार से प्याज का बीज लेकर आए. उसके बाद आग जलाकर एक उपले को रख लें और उसके ऊपर प्याज का बीज डालकर उससे निकालने वाले धुएं को अपने मुंह में ले और मुंह को बंद कर ले. इस प्रक्रिया को दो से तीन बार करना है और फिर कुल्ला कर पानी को एक बर्तन में कर ले. उस पानी में आप देखेंगे कि आपके दांतों के सभी कीड़े पानी में आपको दिखाई देंगे.

Leave Your Comment

Click to reload image